Nov. 2021: Aus dem Gebiet der Traumatologie/Fußchirurgie

November 2021: Aus dem Gebiet der Traumatologie/Fußchirurgie

Diagnose: Talusfraktur

Therapie: konservativ

Vorwurf: Nichterkennen der Fraktur

 

Sachverhalt:

Nach einer Umknickverletzung auf dem häuslichen Grundstück begab sich der Antragsteller zu seinem Hausarzt.
Die klinische Untersuchung ergab einen Bluterguss am Außenknöchel, sonst keinen verwertbaren Untersuchungsbefund. Eine Orthese wurde verordnet.
Bei der Verlaufsuntersuchung beim Hausarzt nach 10 Tagen war der Bluterguss abgeklungen, die Schmerzen bestanden allerdings weiterhin.
Wegen anhaltender Schmerzen erfolgte nach nunmehr 3 Wochen nach dem Unfallereignis die Vorstellung beim Facharzt für Orthopädie. Bei der Untersuchung ergab sich als einziger pathologischer Befund eine Schwellneigung an der Innenseite des Fußes. Bandführung und Beweglichkeit des Sprunggelenkes waren stabil.

Eine Ultraschalluntersuchung des oberen Sprunggelenkes ergab eine Ergußbildung in dessen vorderen Anteil und eine geringe Schwellung der Tibialis posterior Sehne.

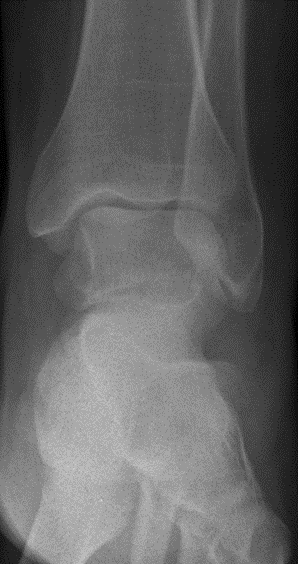
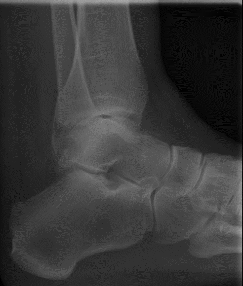
Die Röntgenuntersuchung ergab keinen pathologischen Befund. (Abb.1 und 2)

Abb.1 Unfallbild a.p.

Abb.2 Unfallbild seitlich

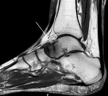
Bei Verschlechterung des Befundes erfolgte nach nunmehr 9 Wochen nach dem Unfall eine MRT Untersuchung, bei der sich ein unverschobener Bruch des Sprungbeinhalses ergab. (Abb. 3)

Abb. 3 MRT 9 Wochen nach dem Unfall

Eine CT Untersuchung 11 Wochen nach dem Unfall bestätigte diesen Befund. (Abb.4)

Abb.4 CT 11 Wochen nach dem Unfall

Die Behandlung erfolgte weiter konservativ mit letztlich Ausheilung der Verletzung.

Vorwurf: es wurde der Vorwurf erhoben, der Bruch sei fehlerhaft nicht erkannt worden.

Zusammenfassung des externen Gutachtens:

  • Die Erstuntersuchung und die Diagnostik der Verletzung sei befundangemessen und dem medizinischen Standard entsprechend durchgeführt worden.
  • Die MRT und CT Untersuchungen sei indiziert gewesen und zeitgerecht durchgeführt worden.
  • Auch bei umgehender Feststellung der später Verletzung sei kein anderes Behandlungskonzept angezeigt gewesen.
  • Auch eine sofortige MRT /CT Untersuchung mit Nachweis der später erkannten Verletzung hätte nicht zu einer nennenswerten Abkürzung des Behandlungsverlaufes geführt.
  • Eine fehlerhafte ärztliche Behandlung sei trotz der verzögerten korrekten Diagnosestellung nicht nachzuweisen.

Bewertung der Haftungsfrage:

Der Bruch des Sprungbeines war auf den nach dem Unfall angefertigten Röntgenbildern nicht erkennbar und wurde erst bei der MRT/CT Untersuchung 9 bzw. 11 Wochen nach dem Unfallereignis festgestellt.

Auch bei sofortiger korrekter Feststellung der Diagnose hätte sich der Behandlungsablauf nicht geändert; insbesondere bestand zu keiner Zeit die Notwendigkeit der operativen Versorgung.

Die anfängliche Fehldiagnose wurde zeitgerecht im Rahmen einer durchgeführten Schnittbilddiagnostik korrigiert und beeinflusste den Heilungsverlauf nicht.
Trotz der initialen Fehldiagnose ist keine fehlerhafte ärztliche Behandlung nachweisbar.

Zurück